Dental Hygienist Services at Bayswater Dental Clinic banner image

Dental Hygienist Services

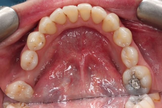
Dental Hygienist service before image – Bayswater Dental Clinic
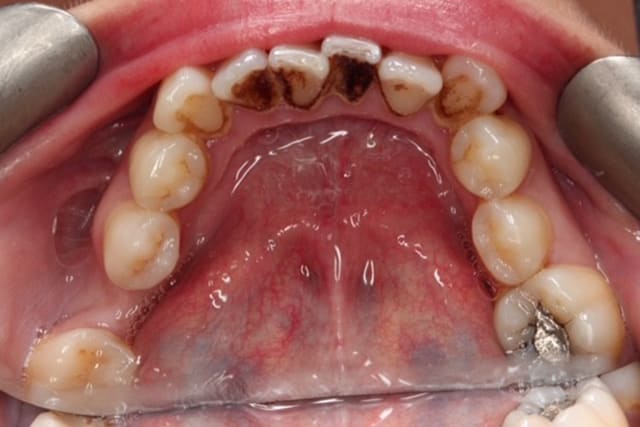
Dental Hygienist service after image – Bayswater Dental Clinic

Private Dental Hygienist in London

Visiting a dental hygienist in London on regular intervals can reduce the risk of developing gum disease and tooth decay. Our skilled Dental hygienist can also reduce the risk of developing heart and Alzheimer’s disease. Visiting a dental hygienist not only helps to maintaining a good oral health but also assist you in keeping a good general health. Removing the tartar and plaque and showing you the correct way for effective brushing and flossing with minimal risk of damage to the teeth and the gum are the main work of a dental hygienist.

Importance Of Visiting A Dental Hygienist In London

Build up of plaque, calculus and germs on the teeth causes a whole range of dental and general health problems. Bad breath (halitosis), gingivitis (gum inflammation) and periodontitis (irreversible gum disease) are some of the common dental problems that affect people. Dental hygienist can help with prevention or stabalising the gingivitis, bad breath and more serious issues like irreversible gum disease, known as periodontitis. Treatment by dental hygienist can also improve the the general health of a person by reducing the risk of developing heart diseases and Alzheimer’s disease.

Dental Hygienist Services in London by Bayswater Dental Clinic

In more recent years some studies have shown a very strong correlation between having gum disease and development of Alzheimer’s disease in later life. Many of the bacteria and their products associated with common type of gum disease have been found to be present in the brain of the individuals suffering from Alzheimer’s disease and dementia. Visiting dental hygienist to improve oral health can benefit individual in ways that may not have been recognised before.

In addition to cleaning the teeth and removing the deposits, the role of a dental hygienist is to further motivate and show how to maintain a good oral health based on your individual needs. Remember more teeth are lost due to gum disease than tooth decay.

One more reason for seeing a private hygienist is to enjoy the therapeutic effect of professional dental hygiene services, which can leave you feeling refreshed and rejuvenated. When your mouth feels clean and healthy, you naturally feel more energised and revitalised. We offer dental hygiene services at our clinic, and you can easily book an appointment with one of our experienced hygienists. You do not need to see a dentist before visiting a dental hygienist.

Only £75 for a routine scale and polish with our dental hygienist.

Additional Airflow stain removal only for £39.

Directly book your appointment with our Dental Hygienist ONLINE

How To Brush And Floss Teeth Correctly?

One of the most important roles of a dental hygienist is to demonstrate the correct methods of brushing and flossing. The wrong brushing technique can result in irreparable gum recession and cause tooth cavities. Modified Bass Technique (click to see the video) is one of the most effective method of brushing with minimal risk of damage to gum and teeth.

Flossing once a day is an important part of having a good oral hygiene. Flossing removes plaque from the spaces in between the teeth where tooth brush cannot not get into. Using the correct method of flossing is essential not only in removing the plaque effectively, but also to ensure that you do not damage the gum.

Commonly Asked Questions About Dental Hygienist Services - Bayswater Dental Clinic

Is It Beneficial To See A Dental Hygienist?

Regular visits to a dental hygienist will help improve your dental health and prevent periodontal (gum) disease, bleeding gums and dental decay (caries).

Can Dental Hygienist Whiten Teeth?

Yes, dental hygienists who have received training in teeth whitening procedure can do the job.

Can A Hygienist Clean Procedure Damage The Teeth?

It is extremely unlikely that a dental hygiene clean procedure can damage the teeth.

Is A Dental Hygiene Clean Painful?

Dental hygiene clean is not automatically a painful experience.

Can A Dental Hygienist Extract A Tooth?

Dental hygienists cannot extract teeth or do permanent fillings either.

Fresh Breath Against Bad Breath

Regular visits to a dental hygienist can give you the confidence of a good breath. We offer the least painful methods of teeth cleaning to give that wonderful refreshed feeling using the very latest equipment including Air Polishing Machines, which gently remove unsightly staining without damaging your teeth.

Diet advice, fluoride application, fissure sealants and oral hygiene instruction are all part of our programme of prevention of various dental problems.

Advantages of Seeing a Dental Hygienist - Bayswater Dental Clinic

Other Advantages Of Seeing A Dental Hygienist

If you get the feeling that your teeth and gums are not as clean as they could be even though you have just brushed them, you are probably right. It is time to consult a dental hygienist. Plaque is a nearly colourless film that constantly forms on your teeth. Formed from salivary proteins, bacteria and partly digested food particles, it lies hidden in hard to reach places between your teeth and gums.

Plaque bacteria make your gums tender and swollen, which eventually leads to chronic gum disease. If left untreated, this can progress to the loss of the bone which holds the teeth firmly in the jaws. This can lead to loosening and loss of the affected teeth.

The bacteria showering into the bloodstream can weaken the immune system and are recognised as contributory factors in other health problems, especially in cardiovascular diseases.

People generally tend to see the hygienist more frequently than their dentist to experience the sense of refreshment and rejuvenation that professional teeth cleaning provides at every visit. During each appointment, a dental hygienist carefully checks the soft tissues of the mouth, giving them a strong opportunity to notice abnormalities at very early stages. This plays a crucial role in the early diagnosis of oral health complications such as oral cancer, where timely detection is vital.

You will now realise why it is so critical to thoroughly remove the dental plaque everyday by brushing and flossing your teeth. This prevents the buildup of calculus (tartar) and reverses gum inflammation and bleeding, leading to a healthy mouth and a healthier YOU.

Manual Toothbrushes

Correct brushing techniques are important to maintain your teeth well. Make sure you choose a small headed, medium strength brush that has a comfortable handle for good grip. These features help you to place the brush head onto the correct place on the tooth and gum to be effective.

Place the filaments of the brush at the neck of the tooth, pointing into the gum area and use very short “wiggling” movements to dislodge plaque from the stagnation areas at the gum margins around the necks of the teeth. Use small movements and gentle pressure – do not wear the teeth away! Be systematic in cleaning all of the surfaces of all the teeth. You may find that a “pen grip” minimises the use of excessive force. The dental hygienist can help you with the correct brushing techniques.

Power Toothbrushes

When used correctly according to the manufacturer’s instructions, these brushes can be very efficient at cleaning. There are two main types of power brush; the Electric Toothbrush and the Ultrasonic Toothbrush.

a. Electric Toothbrushes

These have the size and comfort characteristics of a good manual brush and additionally have a powered oscillating and rotating action, which for many people makes the task of effective plaque removal much easier. You are not required to make the small brushing movements; the programmed brush movement does the work for you. But you need to apply the correct pressure and put the brush into all the right places – at the tooth / gum margins.

b. Ultrasonic Toothbrushes

Ultrasonic toothbrushes use a microprocessor to create a sonic brushing frequency of 31,000 gentle brush strokes a minute. The combination of direct bristle contact and “dynamic fluid forces” created by the sonic waves produces a powerful cleaning effect to remove plaque bacteria in the hard to reach places between the teeth and below the gum line.

Oral hygiene tips during COVID-19 pandemic.

Oral hygiene tips by Bayswater Dental Clinic in London
  • wash your hands before and after brushing
  • brush x2-3 time daily with electric toothbrush ideally Oral B (x3 times as we spend more time at home snacking/eating), make sure is powerful and the head is changed on regular basis (every 3-4 months)
  • interdental cleaning x1 daily with TePe brushes-appropriately sized or floss (devices like Waterpik and Airfow are not replacement for interdental brushes, there are adjuncts)/li>
  • if your gums are bleeding use Curasept or Corsodyl mouthwash written "daily" on the bottle, will not stain your teeth
  • if you had COVID-19 change the brush as soon as you are free form the virus
  • try not to keep you brush in the same cup with other members of the family
  • well- balanced diet- limit sticky, sugary snacks, have them if really needed with main meal
  • limited frequency of snacking - increase risk of caries
  • limited sugary drinks - soda and fruit juices can harm tooth enamel
  • drink plenty of water
  • avoid smoking
Opening Hours
  • Monday 09:00AM - 08:00PM
  • Tuesday 09:00AM - 08:00PM
  • Wednesday 09:00AM - 08:00PM
  • Thursday 09:00AM - 08:00PM
  • Friday 09:00AM - 08:00PM
  • Saturday 09:00AM - 08:00PM
  • Sunday 09:00AM - 04:00PM