Invisalign Full treatment at Bayswater Dental Clinic banner image

Invisalign Comprehensive or Full

Invisalign Full or Comprehensive Treatment Cost in the UK

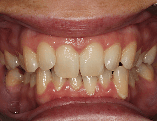
Invisalign Full treatment before - Bayswater Dental Clinic
Invisalign Full treatment after - Bayswater Dental Clinic

Invisalign Comprehensive, formerly known as Invisalign Full, is cutting edge technology for short term cosmetic orthodontic treatment that straightens your teeth by wearing a series of removable plastic aligners. The aligners that come with Invisalign Full are virtually invisible unlike the traditional metal braces, which are quite conspicuous and attract unwanted attention. Invisalign Comprehensive is ideal for straightening teeth with moderate crowding or closing gaps between the teeth that add to be more than 4 milli meters. Invisalign comprehensive is when more than 14 sets of aligners are needed to complete a course of treatment and usually takes around 12 months to finish. You can visit our clinic located in the heart of London to have a free consultation with one of our Invisalign dentists.

Who Can Be Treated With Invisalign Full Aligners?

Invisalign Comprehensive has been designed to treat moderate to severe cases of crowding of teeth and misalignment. It is prescribed by the dentist when a case requires more than 14 sets of aligners to complete the treatment. Invisalign Full treatment may take anywhere between 10-14 months for completion. However, it is thought by using AcceleDent Optima you can speed up the teeth movement by up to 50%, and reduce the duration of the treatment by half.

How Does Invisalign, The Invisible Clear Plastic Brace System Work?

Invisalign aligner system is cutting edge treatment that straightens your teeth in a relatively short span of time with the help of plastic aligners fitted over the teeth, which remain virtually invisible. Invisalign treatment relies on translucent plastic braces that are easily removable, safe on the body, and BPA free (BPA is an industrial chemical used in making certain type of plastics).

How does Invisalign, the Invisible Clear Plastic Brace System work?

Invisalign Full involves the same set of procedures that are followed in other forms of Invisalign treatment, Invisalign i7 or Invisalign Lite. Listed below are the step-by-step processes in Invisalign Full treatment:

  • Free consultation for assessment and suitability. During this visit, we also discuss the Invisalign cost and provide a clear breakdown of the price based on your personalised treatment plan. Patients' teeth must be free from cavities/decay with no gum disease.
  • Taking X-rays, 3D modelling of the teeth by iTero scanner and photos.
  • A three dimensional (3D) video, called the Invisalign Clincheck video, is created based on the records taken to simulate the movement of teeth and demonstrating the final outcome.
  • Patient starts wearing the aligners and periodical adjustments are carried out by the dentist.
  • Treatment is completed when the last aligner is fitted.
  • Retainers are fitted to stop further shifting of teeth and to avoid relapse.

What Is A Clincheck Video?

Clincheck video is a 3D simulation of the projected teeth and gum movements during a course of Invisalign treatment, helping patients better understand Invisalign price as they review their treatment plan. It is based on a computer assessment of your dental records. The Clincheck video helps the dentist to plan the most effective, least invasive and fastest possible way to move the teeth into a new and ideal position.

How Long Do I Have to Wear the Clear Braces / Aligners For?

How Long Do I Have To Wear The Clear Braces / Aligners For?

Invisalign aligners are to be worn at least 22 hours a day. The patient can remove it while eating, drinking or brushing, which is not possible with the traditional wire braces that require professional help to remove and re-fit. A new set of Invisalign aligners are replaced every 10-14 days.

What Can I Do To Speed Up The Orthodontic Treatment And Teeth Moving Faster?

By using It is thought by using AcceleDent Optima, you can speed up the teeth movement by up to 50%, which allows the aligners to be changed weekly. It reduces the duration of the treatment by half.

How Effective Are Invisalign Clear Plastic Braces And Do They Really Work?

To date, more than 6 million people have been treated successfully with Invisalign worldwide. It has been shown to be an effective form of short term cosmetic orthodontic treatment with fantastic results. The Clincheck video allows the patient to see the teeth movement and their alignment, even before a patient starts wearing the aligners. Studies have shown that it is possible, with good patient compliance, to clinically achieve up to 87% of what is seen on the Clincheck video.

What Is The Cost Of Invisalign Full Clear Braces?

Invisalign Comprehensive (Full) Package Offer:

At a fixed cost for 21+ aligners £3999, you will receive your Clincheck video, all of the aligners for the top and bottom jaws to complete the course of treatment and all the review appointments needed, providing full transparency on the Invisalign cost, plus the followings:

Cost of Invisalign Full Clear Braces in London - Bayswater Dental Clinic
  • Home Tooth whitening, worth 250.
  • 3 set of Invisalign Vivera Removable retainers for the top and bottom jaws, worth £499.
  • An OPG, a wide dental x-ray, worth £50
  • 3D scan of your teeth for the Invisalign Clincheck video, worth £95.
  • Pay as you go option, or
  • 5% discount if all the cost is paid in advance, or
  • Up to 18 months 0% finance. No deposits required.
  • Minor adjustments, such as tooth contouring/smoothening if needed at the end of the treatment.
Invisalign comprehensive package offers at Bayswater Dental Clinic in Paddington, London

What is not included in the Invisalign package offers?

  • Any restorative work that is needed, like fillings or composite bonding. Before the start of any Invisalign treatment, one must be assessed and deemed dentally fit.
  • Hygiene visits.
  • Invisalign Additional aligners.

Prior to the start of treatment patients can choose from a variety of convenient payment options. You can make an upfront payment for the entire treatment, pay in instalments through the ‘pay as you go’ option or by applying for 0% financeup to 18 months for Invisalign Lite and Invisalign Comprehensive treatments.

Invisalign Comprehensive package offers in London by Bayswater Dental Clinic

Pay-as-you-go option with Invisalign Comprehensive package offer

The fixed Invisalign price in London for our Invisalign Comprehensive package is £3999 for 21+ aligners. This transparent Invisalign cost is broken down into the following payments;

Clincheck video @ £400, where the simulated video movement of the teeth is produced by Invisalign and shown to patient.

Manufacturing the aligners @ £799, when patient confirms their satisfaction with the result seen in Clincheck video and are happy to proceed with the treatment.

3. Seven payments of £350, payable every 4-7 weeks, when patient comes in for the dentist to assess the progress of the treatment and have new aligners fitted.

0% Finance Options For Invisalign Full Treatment

Up to 18 months 0% finance option for all Invisalign pacakge offers are available at Bayswater Dental Clinic. This means you will be paying £183 a month for Invisalign Comprehensive (full) package for 18 months with no deposits required.

Highly experienced and competent team of Invisalign dentists

Invisalign Comprehensive package offer @ £3999

“Pay as you go” option available

Up to 18 months 0% finance for Invisalign Comprehensive offer. No deposits needed.

Benefit from our free consultation. Book online

Opening Hours
  • Monday 09:00AM - 08:00PM
  • Tuesday 09:00AM - 08:00PM
  • Wednesday 09:00AM - 08:00PM
  • Thursday 09:00AM - 08:00PM
  • Friday 09:00AM - 08:00PM
  • Saturday 09:00AM - 08:00PM
  • Sunday 09:00AM - 04:00PM