Root Canal Treatment

Emergency Root Canal Treatment – Before and After Results

Our root canal treatment and emergency root canal procedures are designed to relieve pain, eliminate infection, and restore the natural function of your tooth. The before and after results from our dental clinic highlight how timely emergency care and expert treatment can save damaged teeth, reduce discomfort, and bring back a healthy, confident smile.

Before After Gallery of Root Canal Treatment

Some root canal treatments which were performed at Bayswater Dental Clinic!

before
after

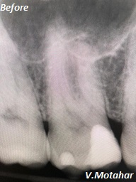
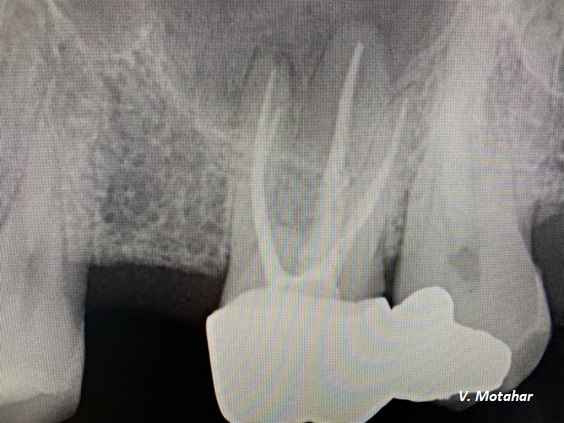
Root Canal Treatment on a molar teeth which had deep decay!

before
after

Root Canal Treatment on a molar tooth!

before
after

Root Canal Treatment on a molar tooth

before
after

Root Canal Treatment on a Premolar tooth!

before
after

Root Canal Treatment on a molar tooth!

before
after

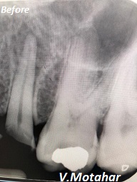
Root Canal treatment on a broken and infected tooth and crowned after the treatment.

before
after

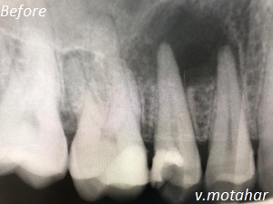
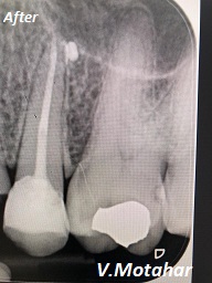
Root Canal Treatment on a molar tooth!

before
after

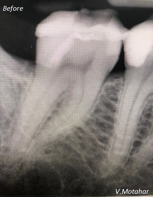
Root Canal treatment on Lower molar tooth immediate after the Root Filling!

before
after

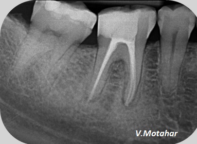
Root canal treatment on three rooted tooth! which had 4 canals!

Opening Hours
  • Monday 09:00AM - 08:00PM
  • Tuesday 09:00AM - 08:00PM
  • Wednesday 09:00AM - 08:00PM
  • Thursday 09:00AM - 08:00PM
  • Friday 09:00AM - 08:00PM
  • Saturday 09:00AM - 08:00PM
  • Sunday 09:00AM - 04:00PM