Dental Trauma Before & After

Real Dental Trauma Before and After Results by Emergency Dentist in London

WARNING: Please be aware that some of these photo cases may contain the sight of blood.

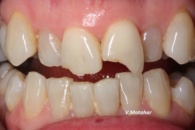
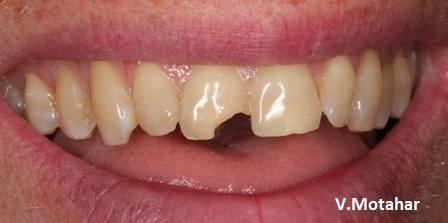
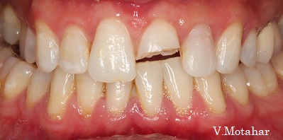
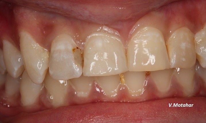
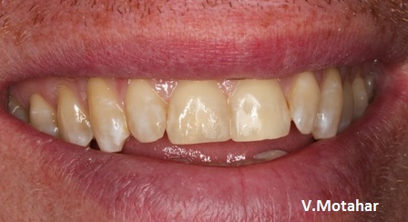
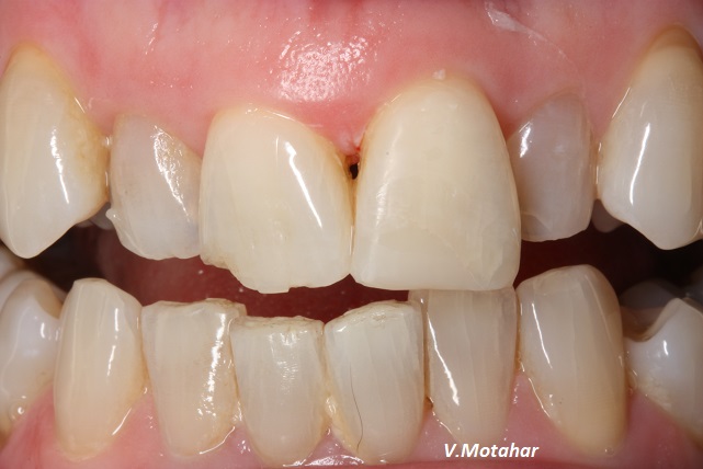
Dental Emergencies, such as trauma on the teeth, specially on the front teeth could be very distressing. And, finding an available good dentist right there and then would be another challenge. Our out of hours dental emergency service could be the best option to see an experienced dentist on weekends and late evenings straight after any accidental dental injury occurs. This service also covers urgent procedures such as tooth extraction and wisdom teeth removal when immediate care is required. Shown below are some immediate dental cares that we have provided by our experienced dentist.

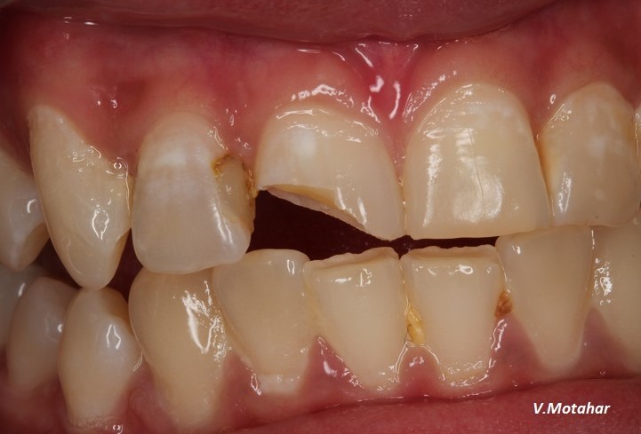
before
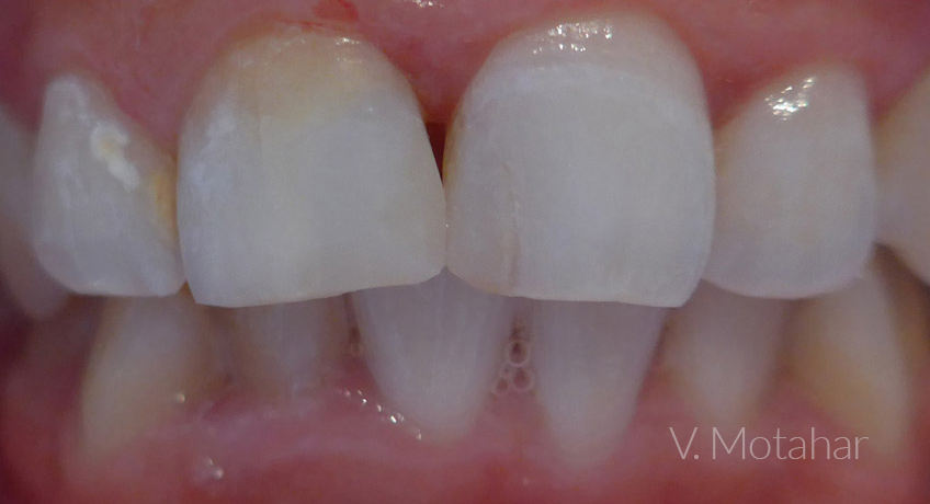
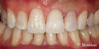
after
before
after
before
after
before
after
before
after
before
after
before
after
before
after
Opening Hours
  • Monday 09:00AM - 08:00PM
  • Tuesday 09:00AM - 08:00PM
  • Wednesday 09:00AM - 08:00PM
  • Thursday 09:00AM - 08:00PM
  • Friday 09:00AM - 08:00PM
  • Saturday 09:00AM - 08:00PM
  • Sunday 09:00AM - 04:00PM