Laser gum bleaching at Bayswater Dental Clinic banner image

Laser Gum Bleaching

Laser Gum Bleaching and Depigmentation in London

Laser Gum Bleaching and Depigmentation in London by Bayswater Dental Clinic
Laser Gum Bleaching or Laser Depigmentation is a simple, pain free and quick cosmetic procedure to remove the black spots on your gums and give them a nice pink look.

Pink gums are attractive, but not all people are born with it. The gums appear dark in shades of brown or black in some people, due to different reasons. The most common cause is genetic and it has been found that dark gums are common among people of certain ethnic groups. The gums might also turn dark due to other reasons such as exposure to irritants like cigarette smoke or certain type of medications.

However, dark gums are not an indication of any disease or dysfunction. If you have dark gums and desire to have pink gums for a better look, gum depigmentation using Laser Gum Bleaching is your answer. Laser Gum Bleaching lightens the gums and gives them a healthier, natural pink appearance.

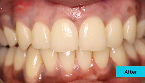
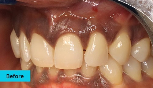
Laser gum bleaching before after image of Bayswater Dental Clinic

Am I Suitable For Laser Gum Bleaching?

Laser Gum Bleaching is very effective when the dark patches on the gum are caused by melanin making cells. This is the most common cause of dark gums. Other possibilities for gum staining (or darkening) can be amalgam tattooing, diseased gums, or when the root of a tooth becomes discoloured. Not all types of darkness of the gums are suitable for Laser Gum Bleaching.

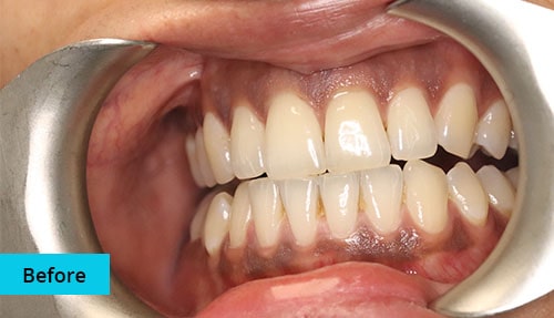
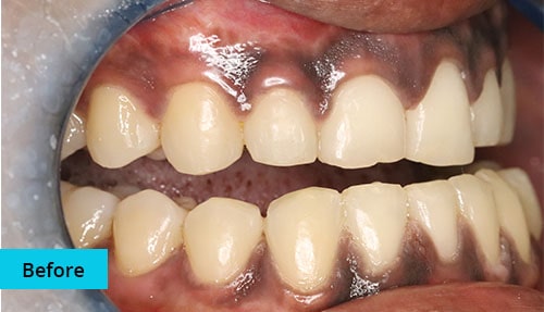
Laser Gum Depigmentation before image - Bayswater Dental Clinic
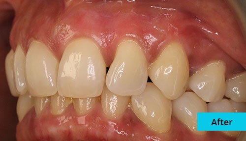
Laser Gum Depigmentation after image - Bayswater Dental Clinic
Laser Gum Bleaching may not be effective in the following cases:
  • Laser Gum Bleaching is not suitable in cases when the darkness of the gums is the result of gum disease.
  • It is not suitable for people who have thin gums with the root of the teeth very close to the surface. In these cases treatment can cause sensitivity.
  • Laser Gum Bleaching is not suitable in cases when the dark colour (of the gums) is the result of dark roots or implants showing through the gum.
  • It is not suitable for people under medication to thin their blood.. If you are interested in the procedure, we suggest that you visit our clinic located in the heart of London and have a free consultation. Our clinician will assess your case and find out if you are suitable for Laser Gum Bleaching.

How Effective Is Laser Gum Bleaching And What If All The Pigments Are Not Removed?

Laser Gum Bleaching can be very effective and usually the procedure is completed in one visit, especially in cases where the melanin producing cells are close to the surface of the gum. If they are embedded deeper into the gum, then some areas may need a top-up. In our clinic we offer one top up appointment for free in your review appointment which will be scheduled 2-3 weeks after the initial treatment.

Complete Laser gum bleaching procedure in London - Bayswater Dental Clinic

What Is The Healing Time After Laser Gum Bleaching Procedure?

The healing process after the Laser Gum Bleaching procedure is fast, although it varies from person to person. To ensure good healing, preparations like scaling and polishing of the teeth are done at the hygiene appointment before the procedure is carried out. Post-treatment it is better to avoid smoking and take proper oral care to aid the healing process.

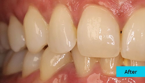
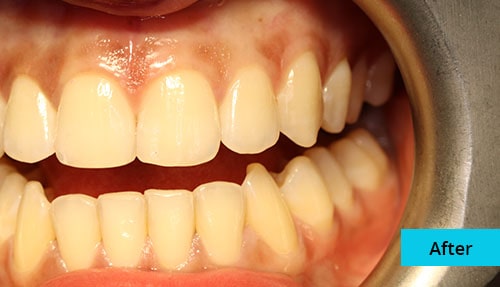
Laser Gum bleaching case-1 before image - Bayswater Dental Clinic
Laser Gum bleaching case-1 after image - Bayswater Dental Clinic
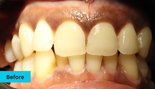
Laser Gum bleaching case-2 before image - Bayswater Dental Clinic
Laser Gum bleaching case-2 after image - Bayswater Dental Clinic
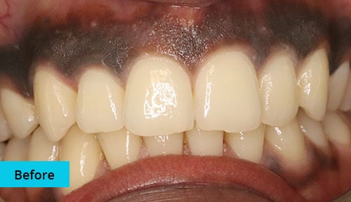
Laser Gum bleaching case-3 before image - Bayswater Dental Clinic
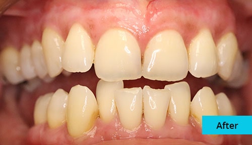
Laser Gum bleaching case-3 after image - Bayswater Dental Clinic
Laser Gum bleaching case-4 before image - Bayswater Dental Clinic
Laser Gum bleaching case-4 after image - Bayswater Dental Clinic
Laser Gum bleaching case-5 before image - Bayswater Dental Clinic
Laser Gum bleaching case-5 after image - Bayswater Dental Clinic
Laser Gum bleaching case-6 before image - Bayswater Dental Clinic
Laser Gum bleaching case-6 after image - Bayswater Dental Clinic
Laser Gum Bleaching cost in London - Bayswater Dental Clinic

Laser gum bleaching, a fast & safe way to remove pigments

Treatment cost starts from £200

£499 for one jaw

£699 for both jaws

Can have one free top up appointment

Book your free consultation ONLINE

Opening Hours
  • Monday 09:00AM - 08:00PM
  • Tuesday 09:00AM - 08:00PM
  • Wednesday 09:00AM - 08:00PM
  • Thursday 09:00AM - 08:00PM
  • Friday 09:00AM - 08:00PM
  • Saturday 09:00AM - 08:00PM
  • Sunday 09:00AM - 04:00PM