Dental Crowns at Bayswater Dental Clinic banner image

Dental Crowns

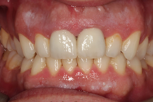
Dental Crown before image at Bayswater Dental Clinic
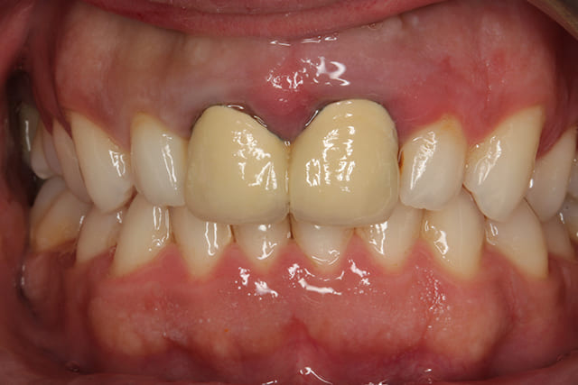
Dental Crown after image at Bayswater Dental Clinic

Dental Crown London

Dental crowns protect the structural integrity of a tooth. Bayswater Dental Clinic provides aesthetic dental crowns for a more beautiful smile in addition to functional dental crowns. our clinic is conveniently located in central London, W2.

Dental crowns, also known as caps or cuspal coverage, are devised to keep together and protect the damaged teeth for a better function or better appearance. Teeth with large fillings, root treated teeth or fractured teeth can be crowned to make teeth more durable against wear and tear.

Why A Dental Crown Is Needed?

A dental crown is needed when a tooth is structurally compromised and is weak. In other words, there is little tooth tissue left to support any other form of restoration, for example, a filling. By placing a dental crown on a tooth, which acts like a hat covering ahead, the integrity of the tooth is protected better. This reduces the risk of fracture and breakage of the tooth.

When a Dental Crown is needed? – Bayswater Dental Clinic

When A Dental Crown Is Needed?

There are many situations that would necessitate the need of placing a dental crown on a tooth. The most common reasons are

  • When a tooth has a large filling. For example when the size of the filling is larger than what is left of the tooth.
  • When a tooth is broken and a chunk of it is missing.
  • When a tooth is fractured or cracked.
  • When a tooth has had root canal treatment.
  • When a tooth is discoloured and for better aesthetic (if the veneer is not advisable)

What Is An Alternative Option To A Dental Crown?

The principle behind having a dental crown is to protect the structure of a tooth further as a dental crown fully covers a tooth. If it is possible to achieve this without fully covering the tooth, then we can consider alternative options such as only or 3/4 dental crowns. These alternative options are designed to reduce the amount of drilling that is needed for restoring a tooth.

Types of Dental Crowns available at Bayswater Dental Clinic in London

There are many different types of tooth crown options that have been developed over several decades. They are mainly categorised based on the type of materials used to fabricate the tooth crown. The most commonly used types can be categorised into:

  • All metallic dental crowns which can be made from precious or non-precious metal.
  • All ceramic dental crowns which are mostly used in the aesthetic zone of the mouth. They can be made from a variety of materials such as porcelain, zirconium, lava, etc..
  • Combination of a metal core with a type of ceramic on top for better aesthetics.

The oldest material, and still the best material for dental crowns is gold. Because of its colour, they are not used in aesthetic zones in modern dentistry, unless a patient wishes to specifically have a gold dental crown. They are, however, the best choice of dental crown material for back teeth which are not visible. Its disadvantage is only the cost as gold is an expensive material.

Cost of Dental Crown treatment in London - Bayswater Dental Clinic

What Is The Cost Of A Dental Crown?

It depends what type of crown is used and for what purposes. But as a guide, the cost of a dental crown can be based on these criteria;

  • Type of material used
  • Skill and experience of the dentist
  • Quality of the lab used and the experience and skill of the technician making the crown.
  • Whether an aesthetic crown is made for a nicer smile.
  • What technique is used for making the dental crown?

At Bayswater Dental Clinic we provide 1-3 years 0% finance to make it more affordable to have the necessary dental treatment.

We provide top quality aesthetic dental crowns

We use only U.K. dental laboratories to ensure high-quality dental crowns

All types of dental crowns come with a guarantee

We offer up to 18 months 0% finance

Opening Hours
  • Monday 09:00AM - 08:00PM
  • Tuesday 09:00AM - 08:00PM
  • Wednesday 09:00AM - 08:00PM
  • Thursday 09:00AM - 08:00PM
  • Friday 09:00AM - 08:00PM
  • Saturday 09:00AM - 08:00PM
  • Sunday 09:00AM - 04:00PM