Composite Veneers Before & After

Composite Veneers Before & After

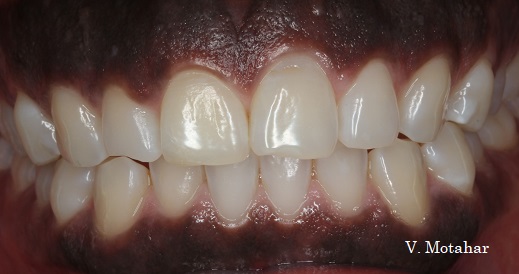
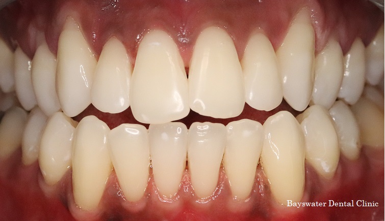
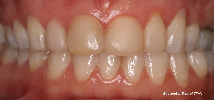
Our dental composite veneers before and after results demonstrate natural, long-lasting smile enhancements. Offering expert dental veneers in Notting Hill, we focus on achieving outstanding front teeth veneers before and after transformations for patients seeking cosmetic dental treatment in London.

before
after

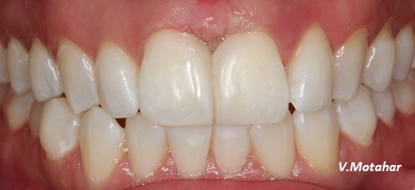
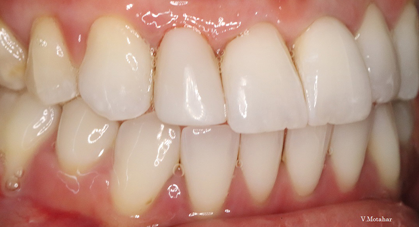
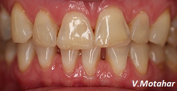
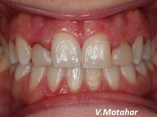
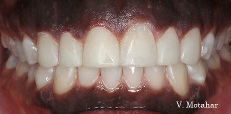
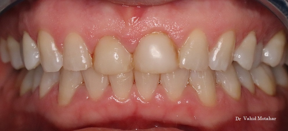
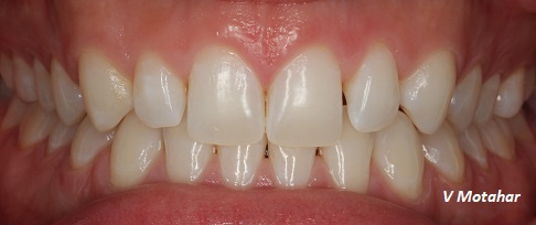
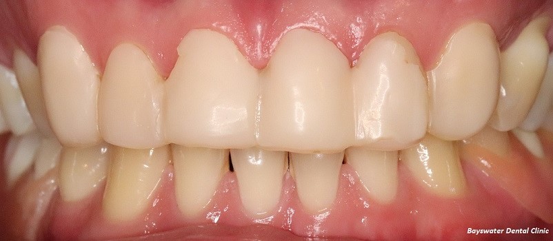
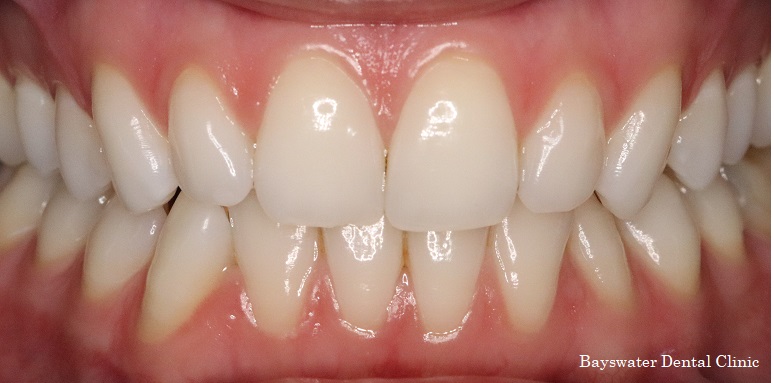
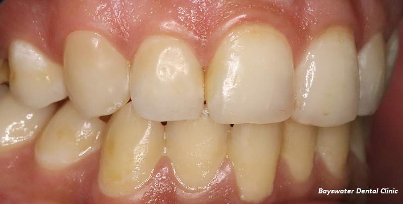
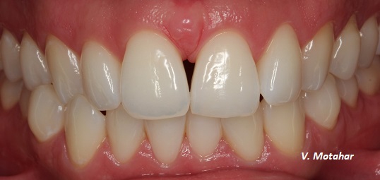
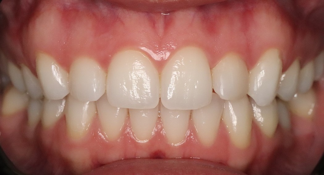
1-Composite Veneers Before & AfterComposite veneers on top 4 teeth with teeth whitening on rests

before
after

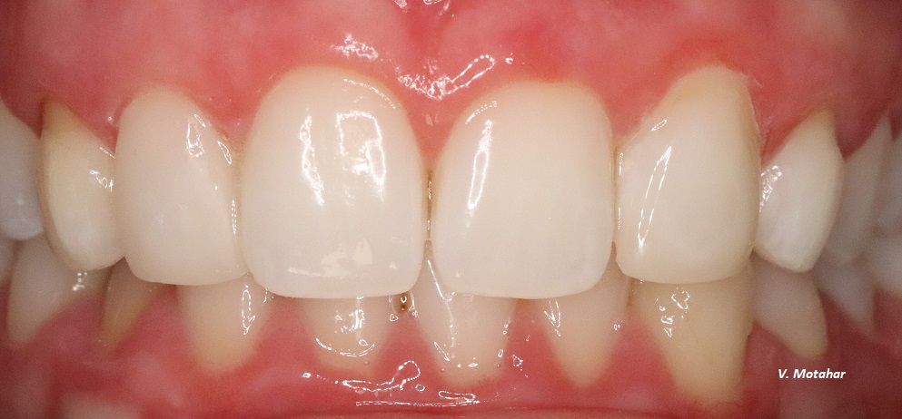
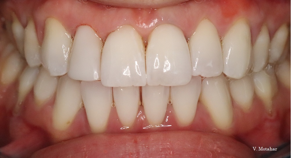
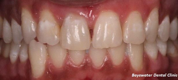
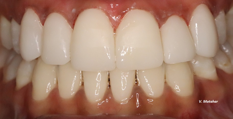
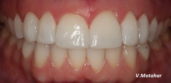
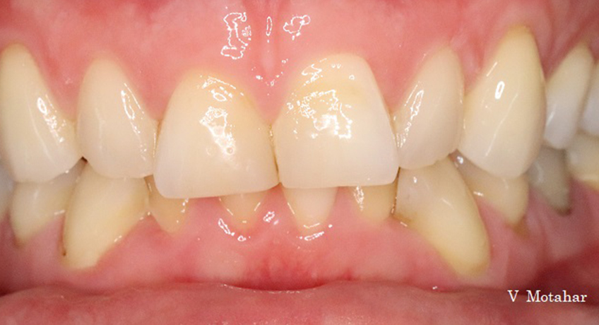
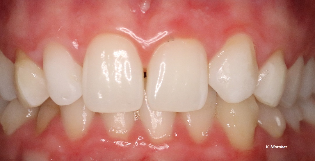
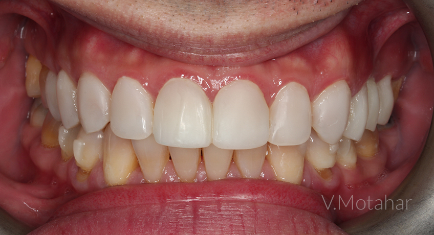
2-Composite veneers/Bonding on top front 8 teeth(after picture taken immediate after they were done)

before
after

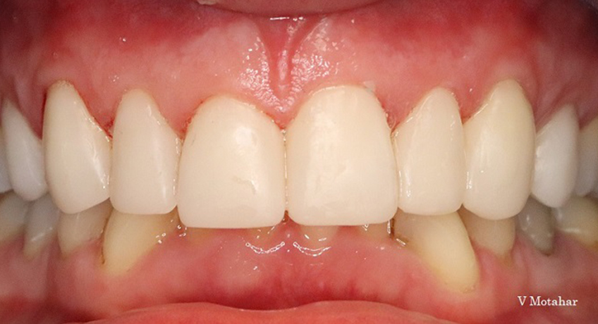
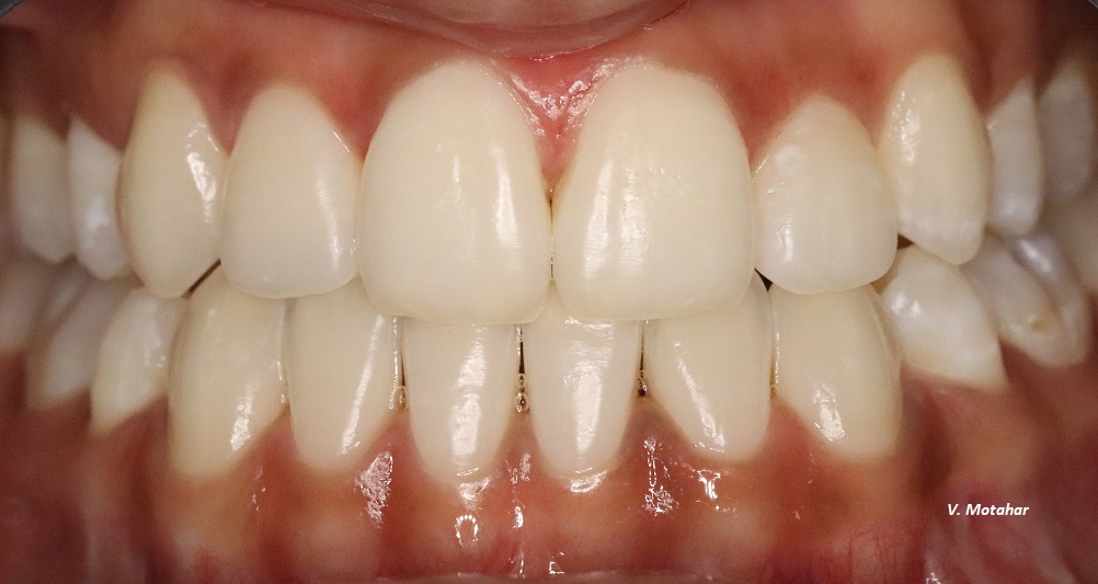
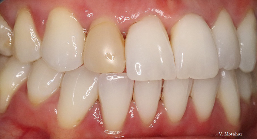
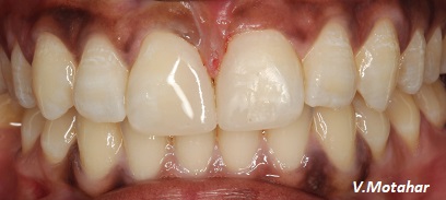
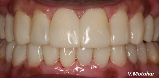
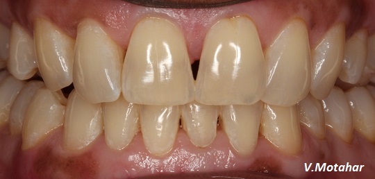
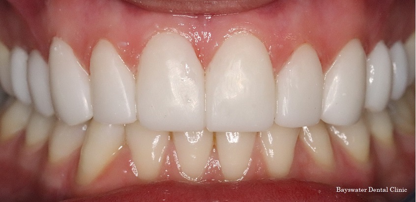
3-Replacement of a single discloured composite veneer(Side View)

before
after

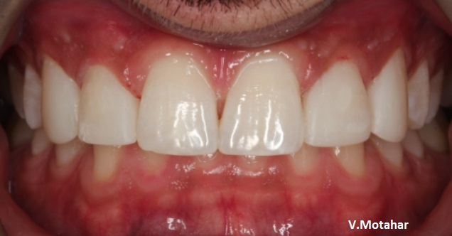
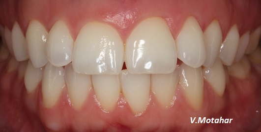
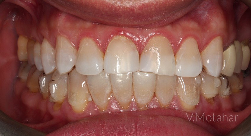
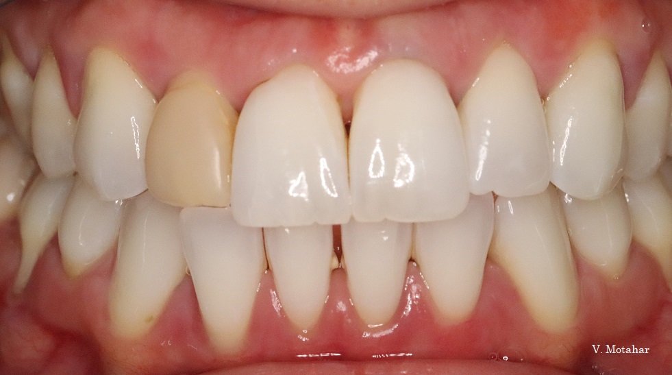
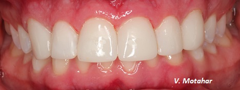
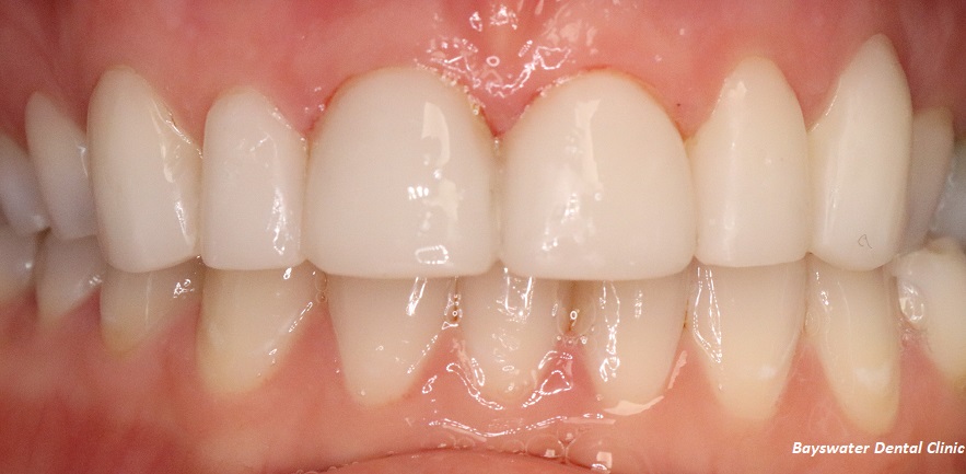
4-Five composite veneers/ bondings on top front teeth

before
after

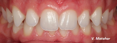
5-Replacement of a single discloured composite veneer(front View)

before
after

6-composite veneers(bonding) were done to improve the smile of this case. Another happy patient

before
after

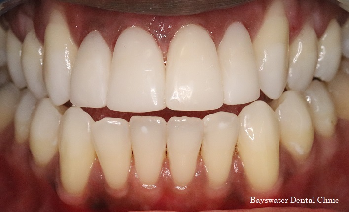
7-Composite veneers on top 6 teeth

before
after

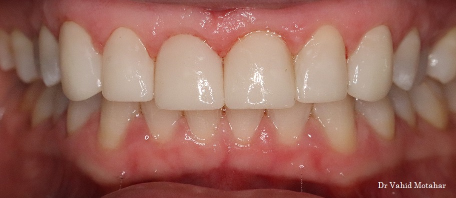
8- six Composite veneer / Bondings on top front teeth

before
after

9-Composite veneers on top 6teeth

before
after

10-Patient requested us to change the existing composite veneers which were done abroad. All 6 composite veneers(bondings) were replaced at Bayswater Dental Clinic

before
after

11-Patient main concern was shape of the top front teeth ! after picture was taken immediate after the composite veneers were done!

before
after

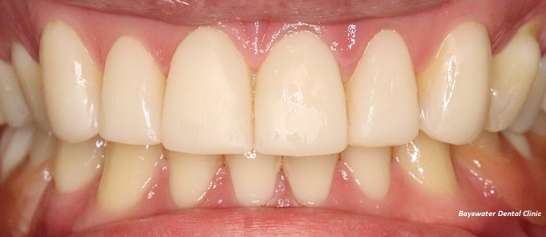
12-Composite veneers on top front Eight teeth.

before
after

13-Ten composite veneers/bonding on top front 10 teeth!

before
after

14-Composite veneers on 4 top front teeth after the teeth whitening

before
after

15-Composite veneers on top front teeth and teeth whitening treatment on rest. White and bright smile!!

before
after

16-Composite veneers on top front 6 teeth to close the gaps and improve the smile

before
after

17-Composite veneers on top 8 teeth. Invisalign treatment(ongoing) for the bottom teeth to straighten them!

before
after

18-Composite veneers on top front 2 teeth!

before
after

19-Composite veneers on top from 6 teeth.

before
after

20-Composite veneers on top from 2 teeth to close the gap.

before
after

21-Composite veneers on top front teeth to improve the look, close the gaps and change the shape of the teeth as patient requested!

before
after

22-Composite bondings/veneers on top front four teeth. Excellent colour match with rest of the teeth.

before
after

23-Composite veneers on top front 4 teeth. Minor laser gum re-contouring has also been done to improve the gum line of later incisors teeth

before
after

24-Composite veneers on top and bottom front 6 teeth

before
after

25-This is a case of composite veneers replacement. As you can see they were discoloured. ‘After’ picture was taken immediate after they were replaced.

before
after

26-Composite veneers on top and bottom Front teeth

before
after

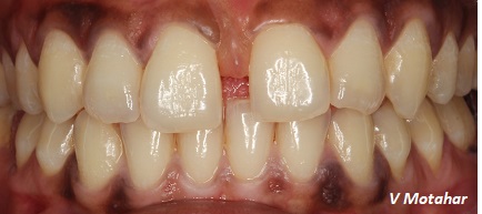
27-Two composite veneers/bonding to close the gap in between top front teeth.’After’ picture was taken immediate after the veneers were done.

before
after

28-Two composite veneers/bonding to close the gap in between top front teeth.’After’ picture was taken immediate after the veneers were done.

before
after

29-Patient requested to make the gumline even and improve the shape of the teeth. Lager gum contouring was carried out about 4 weeks ago then 6 composite veneers / bonding placed

before
after

30-Six composite veneers on top front teeth to close the gaps and improving the shape of the teeth

before
after

31-Composite veneers were done on top front two teeth only to improve the shapes.

Opening Hours
  • Monday 09:00AM - 08:00PM
  • Tuesday 09:00AM - 08:00PM
  • Wednesday 09:00AM - 08:00PM
  • Thursday 09:00AM - 08:00PM
  • Friday 09:00AM - 08:00PM
  • Saturday 09:00AM - 08:00PM
  • Sunday 09:00AM - 04:00PM