White Filling Before & After

Dental White Fillings – Before and After Results

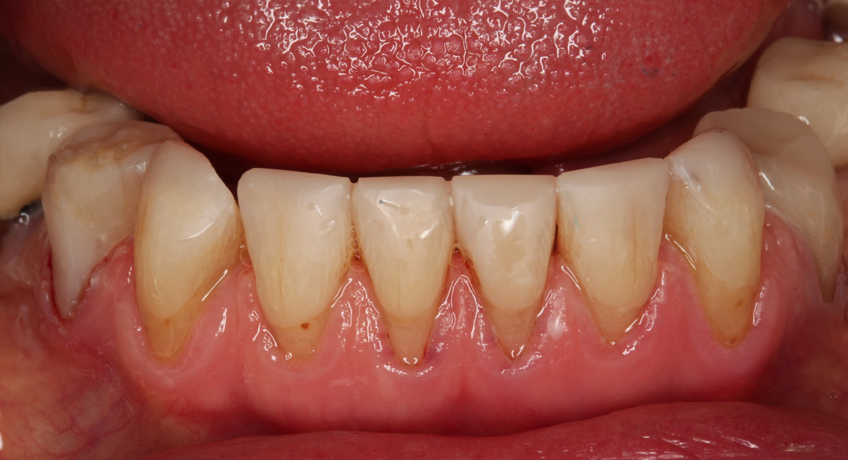
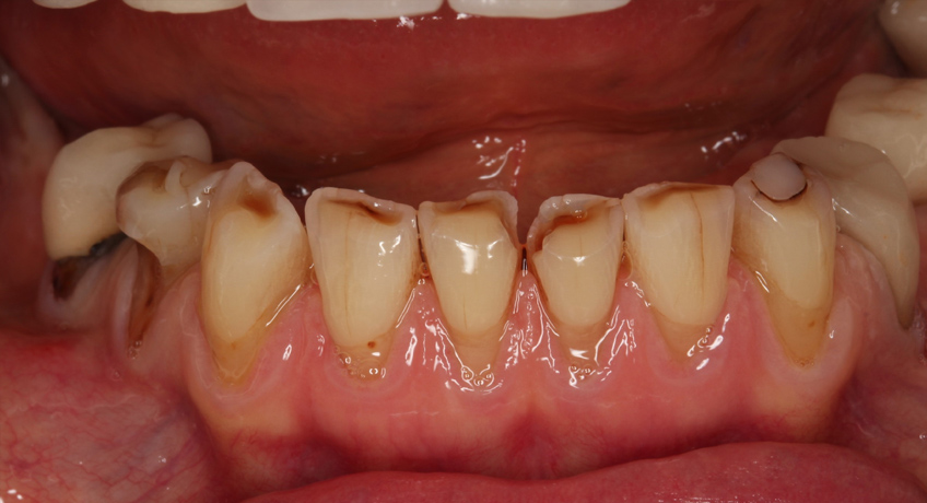
The before and after results of teeth whitening, dental fillings, and white filling treatments from Bayswater Dental Clinic showcase clear improvements in tooth colour, shape, and overall smile appearance. These treatments help restore damaged teeth, enhance aesthetics, and deliver natural-looking, long-lasting results for a healthier and more confident smile.

White Filling Before & After

before
after
before
after
before
after
Opening Hours
  • Monday 09:00AM - 08:00PM
  • Tuesday 09:00AM - 08:00PM
  • Wednesday 09:00AM - 08:00PM
  • Thursday 09:00AM - 08:00PM
  • Friday 09:00AM - 08:00PM
  • Saturday 09:00AM - 08:00PM
  • Sunday 09:00AM - 04:00PM