Invisalign Lite Before & After

Invisalign Lite Before & After

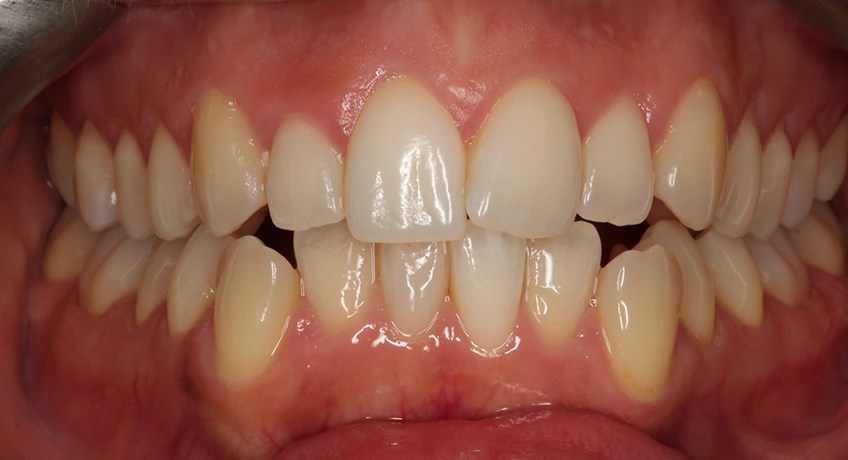
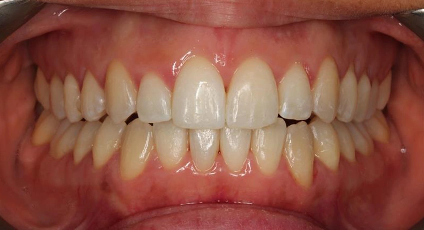
The case below was treated with “Invisalign Lite”. patient’s main concern was to close the front gap. Also, have had some complementary teeth whitening.

before
after
before
after
Opening Hours
  • Monday 09:00AM - 08:00PM
  • Tuesday 09:00AM - 08:00PM
  • Wednesday 09:00AM - 08:00PM
  • Thursday 09:00AM - 08:00PM
  • Friday 09:00AM - 08:00PM
  • Saturday 09:00AM - 08:00PM
  • Sunday 09:00AM - 04:00PM